治療前
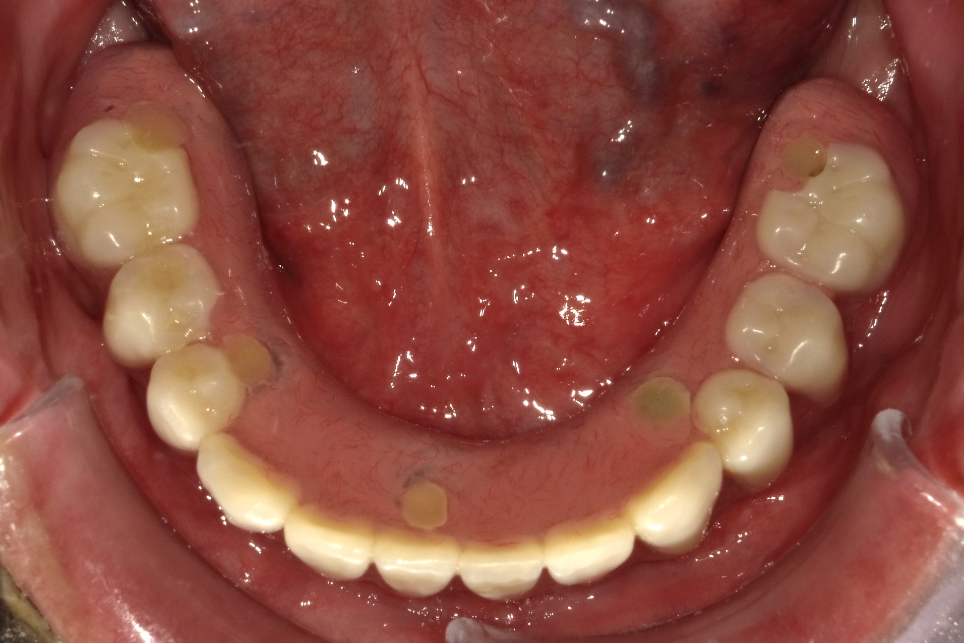
治療後
| 年齢・性別 | 60代・男性 |
|---|---|
| 主訴 | 入れ歯を作って使用していたが合わないので使用出来ない。ホームページで見たオールオン4を見てインプラントを何本か入れて繋げて欲しい。上も歯が無いが、まずは下から入れたい。 |
| 期間 | 8カ月 |
| 費用 | 2,473,900円 |
| 治療内容 | 下顎チタンインプラント5本(上部構造義歯タイプ) セデーション(静脈内鎮静法) ※インプラント治療の流れについてはインプラント専用ページを参照して下さい。 |