症例集
- ホーム
- 症例集
インプラント治療症例集
オールオン4~6
インプラント治療症例集 / 入れ歯を作って使用していたが合わないので使用出来ない。ホームページで見たオールオン4を見てインプラントを何本か入れて繋げて欲しい。上も歯が無いが、まずは下から入れたい。
60代・男性
ホワイトニング症例集
矯正歯科症例集
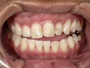
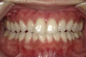
矯正(3Dシステム+インビザライン)
矯正歯科症例集 / 他院にて1年前上のすきっぱ気になり矯正をスタートしたが、体調が悪くなった。(頭痛・息苦しい・かみ合わせが合わないなど)、歯並び・不定愁訴の改善
20代・女性