治療前
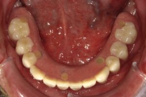
治療後
| 年齢・性別 | 50代・男性 |
|---|---|
| 主訴 | 入れ歯を入れたが話がしにくく、気持ちが悪く嘔吐しそう。他医院では骨が少なくインプラントを入れれないと言われた。インプラント希望。 |
| 期間 | 11か月 |
| 費用 | 5,924,400円 |
| 治療内容 | 上顎チタンインプラント7本(右上3.6.7番・左上2.4.6.7番) 下顎チタンインプラント5本(右下4.6.7番・左下6.7番) サイナスリフト(右上6.7番・左上6.7番) セラミック冠 ※インプラント治療の流れについてはインプラント専用ページを参照して下さい。 |