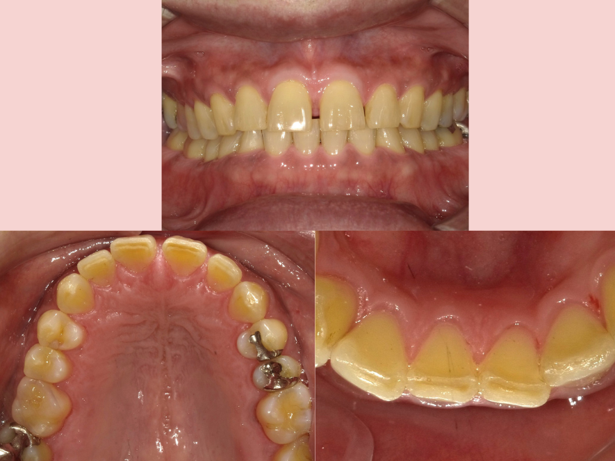
治療前
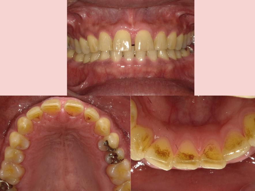
治療後
| 治療名称 | エアフロー+PMTC |
|---|---|
| 年齢・性別 | 50代・男性 |
| 主訴 | メンテナンス前に着色を落として綺麗にしたい。 |
| 期間 | 1回 |
| 費用 | 5.500円 |