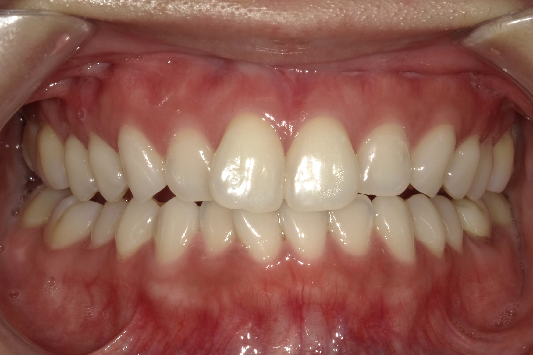
治療前
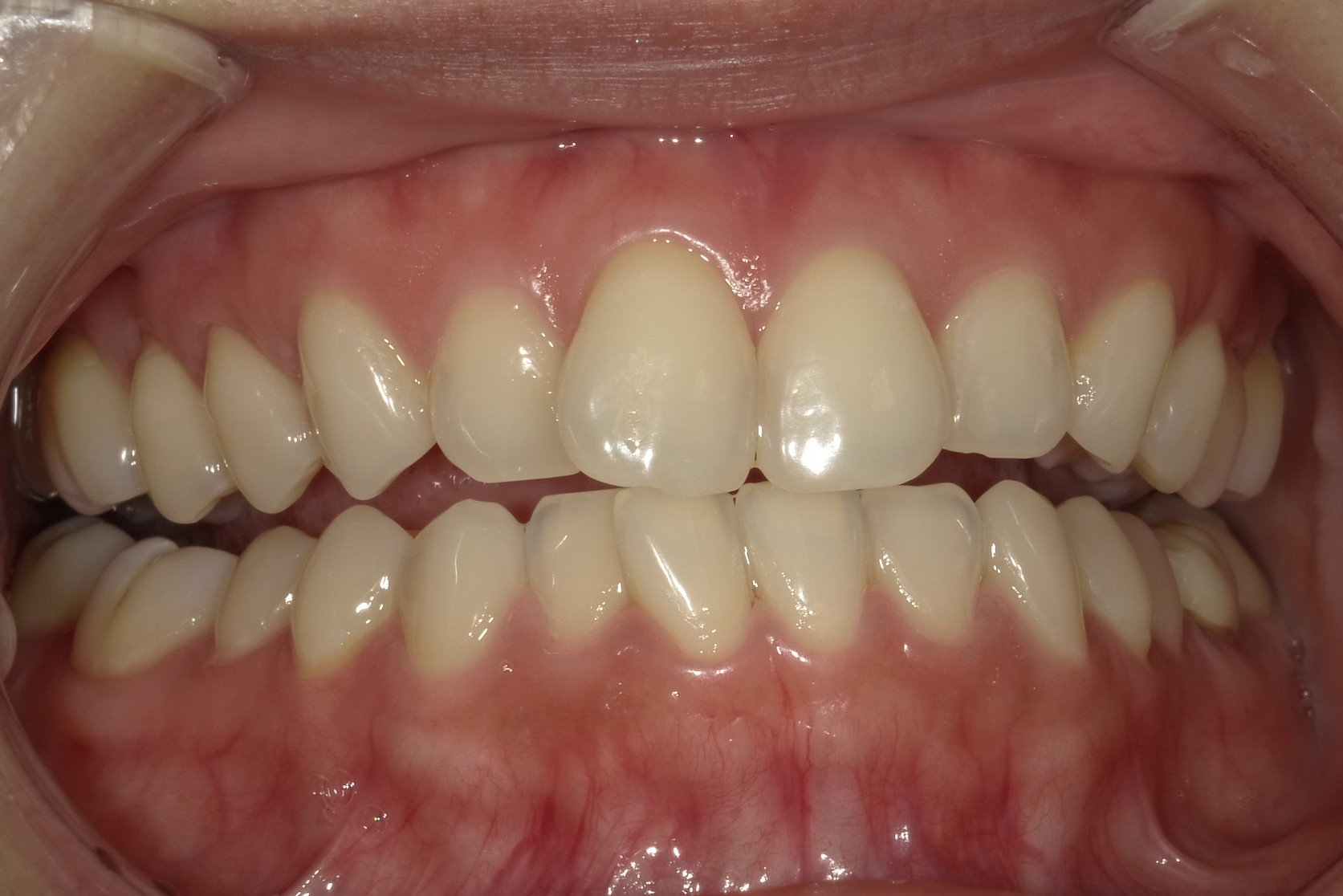
治療後
| 年齢・性別 | 30代・女性 |
|---|---|
| 主訴 | 年末年始に向けて歯を白くしたい。 |
| 期間 | 10日~2週間(2回) |
| 費用 | 40,700円 |
| 治療内容 | オフィスホワイトニング(ライト照射×2回)2日間 ※10~2週間以内に2回施術を行う。 |