オフィスホワイニングプロGO

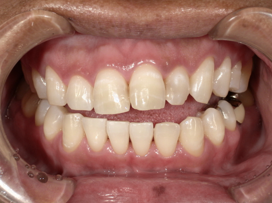
治療前 Before
治療後 After
治療名称オフィスホワイニングプロGO
年齢・性別40代・男性
主訴歯の黄ばみが気になる
期間2週間
費用42,000円