HOME
医院案内
医師紹介
理事長紹介
アクセス
診療メニュー
虫歯治療
小児歯科
予防歯科
歯周病
インプラント
矯正歯科
噛み合わせ治療
小児矯正
大人の矯正
ホワイトニング
スーパーデンチャー
審美歯科
訪問歯科診療
インビザライン
さらに詳しく
マイクロエンド〔アメリカ式根管治療〕
ロイテリ菌について
ランパシステム(顎顔面口腔育成治療)
金属アレルギー
料金表
症例集
WEB予約
電話で問い合わせる
公式Instagram
歯科コラム
求人情報
矯正歯科症例集の症例一覧
ホーム
症例集
矯正歯科症例集
3Dシステム・3Dクアドヘリックス
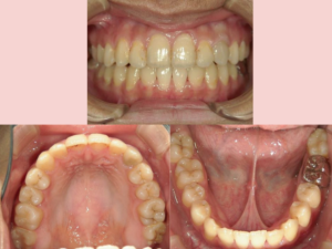
矯正歯科症例集 / 生えてきた永久歯の歯並びが気になる
10代・女性
この症例を見る
矯正(3Dシステム+インビザライン)
矯正歯科症例集 / 他院にて1年前上のすきっぱ気になり矯正をスタートしたが、体調が悪くなった。(頭痛・息苦しい・かみ合わせが合わないなど)、歯並び・不定愁訴の改善
20代・女性
この症例を見る
矯正(3Dシステム+インビザライン)
矯正歯科症例集 / 歯並びが気になる。
20代・女性
この症例を見る
インビザラインgo
矯正歯科症例集 / インビザラインが気になる。
20代・男性
この症例を見る
矯正歯科症例(3Dシステム・3Dクアドヘリックス)
矯正歯科症例集
20代 女性
この症例を見る
HOME
医院案内
医師紹介
理事長紹介
アクセス
診療メニュー
虫歯治療
小児歯科
予防歯科
歯周病
インプラント
矯正歯科
噛み合わせ治療
小児矯正
大人の矯正
ホワイトニング
スーパーデンチャー
審美歯科
訪問歯科診療
インビザライン
さらに詳しく
マイクロエンド〔アメリカ式根管治療〕
ロイテリ菌について
ランパシステム(顎顔面口腔育成治療)
金属アレルギー
料金表
症例集
WEB予約
電話で問い合わせる
公式Instagram
歯科コラム
求人情報