この記事の著者・監修者
理事長:田熊 啓弘
福岡、佐賀で勤務医経験後、沖縄にて(医)秋桜会さくら歯科クリニック・インプラントセンターを開業。2012年6月うるま市にて、ファーストデンタルクリニック、摂食・嚥下口腔リハビリセンターを開設


歯周病
periodontal disease
歯を磨いたときに血が出る、歯ぐきが腫れている──そんな症状はありませんか?
これらは、歯周病のはじまりを知らせるサインです。
初期のうちは痛みが少ないため、気づかないまま進行してしまう方も多くいらっしゃいます。
歯周病は、歯ぐきだけでなく、歯を支える骨まで炎症が広がる病気です。
進行すると、歯がぐらついたり、最終的には歯を失ってしまうこともあります。
特に沖縄では湿度が高く、細菌が繁殖しやすい環境のため、早めの歯周病治療がとても大切です。
「少し出血しているだけだから…」と放っておくと、後から大がかりな治療が必要になるケースも少なくありません。
当院では、炎症の原因をしっかり取り除くことで、再発を防ぐサポートをしています。
小さなサインを見逃さず、気になる症状があるときはお早めにご相談ください。早期に治療を行うことで、歯ぐきの健康を守り、将来の歯を残すことにつながります。
feature
当院は、予防の最先端を歩む北欧(スカンジナビア)の予防システムを採用しています。
全ての治療のベースとなる重要な部分でもあります。治療に先駆けて行うのが基本です。
エビデンスの確立しているシステムによって生態に優しいプラーク(歯垢)除去、歯石除去を行っているため、ほとんど痛みを感じることもなくストレスがありません。
治療後の健全な維持のためにもスカンジナビア式の歯周病予防は必須となります。
また、理事長はスウェーデンのイエテボリ大学へ何度も研修に赴き、現地の専門家から直接、最先端の知見や技術を学んでいます。
その経験をもとに、日本の臨床現場に合わせた形でスカンジナビアペリオを実践し、長期的に安定したお口の健康維持を目指しています。
当院の歯周病治療は、日本歯周病学会に所属する歯科医師が担当します。
歯ぐきの状態や骨の吸収の進行度、生活習慣の影響までを丁寧に診断し、症状に合わせた治療計画を立てます。
「どこまで治るのか」「どのくらい通うのか」といった不安も、患者さま一人ひとりの状況に合わせて分かりやすくご説明します。
専門的な知識と臨床経験に基づいた治療で、再発しにくい健康な歯ぐきを目指します。
歯周病は、治療して終わりではなく、再発させないことが何より大切です。
炎症の原因となる細菌をしっかり除去した上で、食生活・喫煙・ストレスなどの生活習慣も一緒に見直していきます。
一人ひとりのライフスタイルに合わせたサポートを行い、「治す」から「守る」歯周病治療へつなげます。
歯周病治療のあとも、歯科衛生士が定期的なケアやクリーニングを行い、お口の中の変化をしっかり確認します。
小さな炎症や磨き残しを早めに見つけることで、再発を防ぎ、健康な状態を保ちやすくなります。
治療後も継続してサポートいたしますので、安心してご相談ください。
cases
歯周病は、進行の段階によって見た目や症状が大きく変わります。
ここでは、歯周病治療の症例を進行度に合わせてご紹介します。
「今の自分はどの段階かな?」と確認しながら、治療の目安にしてください。
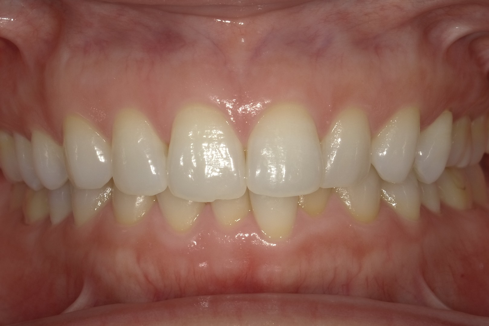
健康な歯ぐきは、薄いピンク色で引き締まっています。
歯と歯ぐきの境目に汚れがたまりにくく、ブラッシングをしても出血や腫れはありません。
歯を支える骨もしっかりしているため、歯のぐらつきもなく、かたいものを噛んでも違和感がない状態です。
この状態を保つためには、定期的なクリーニングと正しい歯磨きが大切です。
歯ぐきが赤く腫れて出血しやすい状態です。
歯周ポケット(歯と歯ぐきのすき間)が深くなり、汚れや細菌がたまりやすくなっています。
レントゲンで確認すると、歯を支える骨が少しずつ溶けはじめていることもあります。
早めの治療と丁寧なホームケアで、進行を止めることができます。
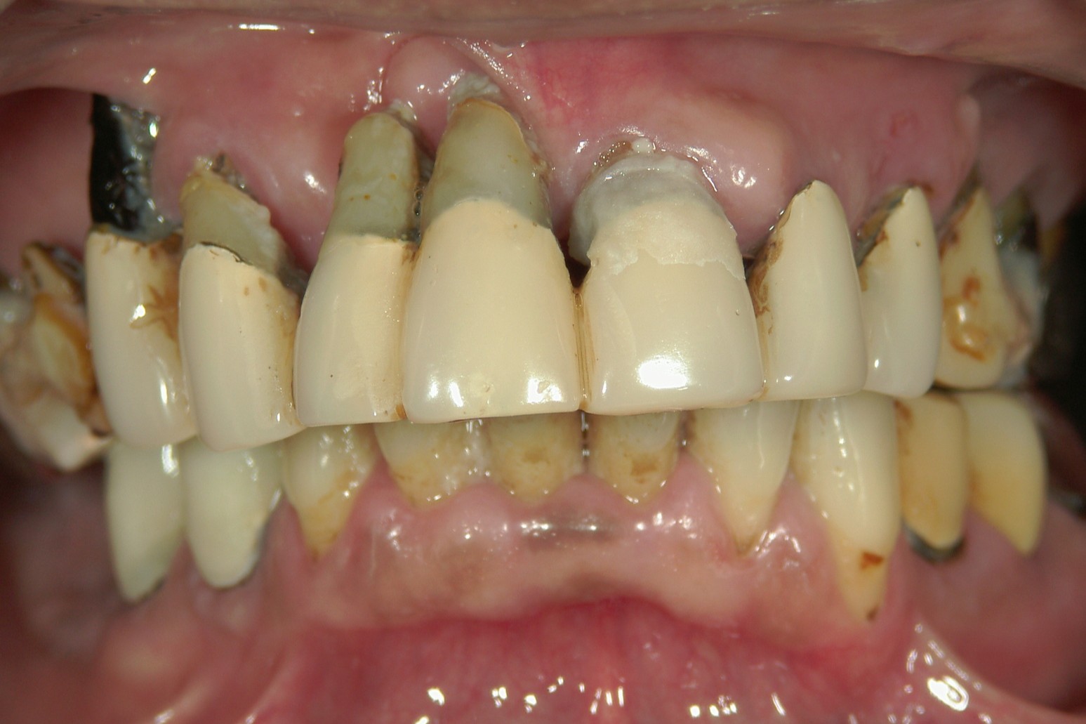
歯を支える骨が大きく失われている状態です。歯ぐきは下がり、歯が長く見えるようになったり、グラグラと動くこともあります。
噛むと痛みが出たり、膿が出ることもあり、放置すると歯が抜け落ちてしまうリスクがあります。
この段階では、歯周外科や再生療法など、専門的な治療が必要になることもあります。しっかり治療を行い、日々のケアを続けることで、歯をできるだけ長く守ることができます。
examination
歯周病の治療を始める前に、まずは今の歯ぐきや骨の状態をしっかり確認することが大切です。
見た目だけでは分からない部分も多いため、当院では複数の検査を組み合わせて、正確な診断を行っています。
歯と歯ぐきの間には「歯周ポケット」と呼ばれるすき間があります。
このすき間の深さを専用の器具で測ることで、歯ぐきの炎症や歯周病の進行度がわかります。
健康な状態では2〜3mmほどですが、炎症が進むと4mm以上に深くなることも。
定期的にチェックすることで、早期発見・早期治療につながります。
見た目だけでは分からない症状を正確に把握するために、CT・レントゲン・唾液検査などの検査を行っています。
歯ぐきの中の炎症や、歯を支える骨の状態、細菌の種類・量までを詳しく調べ、治療の方向性を明確にします。
「なぜ歯ぐきが腫れたのか」「どうすれば再発しないのか」を、患者さまと一緒に見える化して共有します。
maintenance
歯周病は、治療を終えたあとも定期的なメンテナンスが欠かせません。治ったように見えても、歯ぐきの奥には細菌が残っていることがあり、そのまま放っておくと再発してしまうことがあります。
当院では、歯ぐきの健康を長く保つために、3〜6か月ごとのクリーニングシステムを導入しています。
歯周病の原因である歯垢(プラーク)を中心に、歯ブラシやスイス製の歯面清掃器などを用いて、歯や歯ぐきに負担をかけずに丁寧に取り除きます。
ピエゾセラミック超音波スケーラーの導入により、従来の「ガリガリ」という不快感や、術後の知覚過敏が起きにくいのも特徴です。
歯の表面を傷つけず、歯周病の原因菌を的確に減らすことを目指しています。
歯科医院でのケアに加えて、ご自宅での毎日のケアもとても大切です。
歯ブラシの選び方や磨き方、歯間ブラシ・フロスの使い方などを、患者さまのお口の状態に合わせて丁寧にお伝えします。
「どこをどう磨けばよいか」「自分に合うケア用品は何か」を明確にすることで、歯ぐきの状態を安定させ、再発のリスクを減らすことができます。
FAQ
治療の内容にもよりますが、強い痛みを感じることはほとんどありません。歯や歯ぐきをできるだけ傷つけないやさしい方法を採用しています。もし処置中に違和感や痛みがある場合は、すぐにお声かけください。麻酔の調整や方法の変更など、その都度対応いたします。
症状の進行度や治療の内容によって異なります。
軽度であれば2〜3回で改善することもありますが、中等度〜重度では数か月かけて丁寧に治療を進めることがあります。初回の検査でお口の状態をしっかり確認し、通院回数の目安をわかりやすくご説明します。
歯が動いている場合でも、残せることがあります。歯ぐきや骨の状態をCTなどで確認し、治療や再生療法で支える力を取り戻せるかを判断します。すぐに抜歯をすすめることはありません。まずは状態を見極め、「残せる歯は残す」方針で進めていきます。
歯周病は「治して終わり」ではなく、再発しやすい病気です。治療後も3〜6か月ごとのクリーニングと、ご自宅でのセルフケアを続けることで、健康な歯ぐきを長く保つことができます。
安定期(妊娠中期)であれば治療は可能です。妊娠中は歯ぐきが腫れやすくなるため、予防や軽度の治療が大切です。レントゲンや薬の使用は、母体とお子さんに配慮した方法を選びますので、まずは体調をお聞かせください。
福岡、佐賀で勤務医経験後、沖縄にて(医)秋桜会さくら歯科クリニック・インプラントセンターを開業。2012年6月うるま市にて、ファーストデンタルクリニック、摂食・嚥下口腔リハビリセンターを開設