HOME
医院案内
医師紹介
理事長紹介
アクセス
診療メニュー
虫歯治療
小児歯科
予防歯科
歯周病
インプラント
矯正歯科
噛み合わせ治療
小児矯正
大人の矯正
ホワイトニング
スーパーデンチャー
審美歯科
訪問歯科診療
インビザライン
さらに詳しく
マイクロエンド〔アメリカ式根管治療〕
ロイテリ菌について
ランパシステム(顎顔面口腔育成治療)
金属アレルギー
料金表
症例集
WEB予約
電話で問い合わせる
公式Instagram
歯科コラム
PMTC症例集の症例一覧
ホーム
症例集
PMTC症例集
エアフロー+PMTC
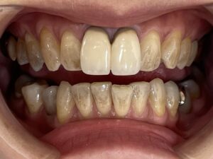
PMTC症例集 / 歯科衛生士さんに勧められたので1度試してみたい。
30代・男性
この症例を見る
エアフロー+PMTC
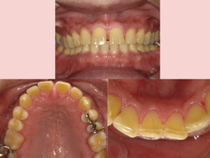
PMTC症例集 / 着色を落としたい。
60代・女性
この症例を見る
エアフロー+PMTC
PMTC症例集 / 着色が気になる。
40代・男性
この症例を見る
エアフロー+PMTC
PMTC症例集 / 着色が気になる。
60代・男性
この症例を見る
エアフロー+PMTC
PMTC症例集 / タバコを吸うので着色が気になる。
60代・男性
この症例を見る
エアフロー+PMTC
PMTC症例集 / 着色が気になる。
50代・女性
この症例を見る
エアフロー+PMTC
PMTC症例集 / メンテナンス前に着色をおとして綺麗にしたい。
70代・女性
この症例を見る
エアフロー+PMTC
PMTC症例集 / ステイン(着色)が気になる。
60代・男性
この症例を見る
エアフロー+PMTC
PMTC症例集 / ステイン(着色)が気になる。
60代・男性
この症例を見る
エアフロー+PMTC
PMTC症例集 / メンテナンス前に綺麗にしたい。
40代・女性
この症例を見る
投稿のページ送り
1
2
次へ
HOME
医院案内
医師紹介
理事長紹介
アクセス
診療メニュー
虫歯治療
小児歯科
予防歯科
歯周病
インプラント
矯正歯科
噛み合わせ治療
小児矯正
大人の矯正
ホワイトニング
スーパーデンチャー
審美歯科
訪問歯科診療
インビザライン
さらに詳しく
マイクロエンド〔アメリカ式根管治療〕
ロイテリ菌について
ランパシステム(顎顔面口腔育成治療)
金属アレルギー
料金表
症例集
WEB予約
電話で問い合わせる
公式Instagram
歯科コラム